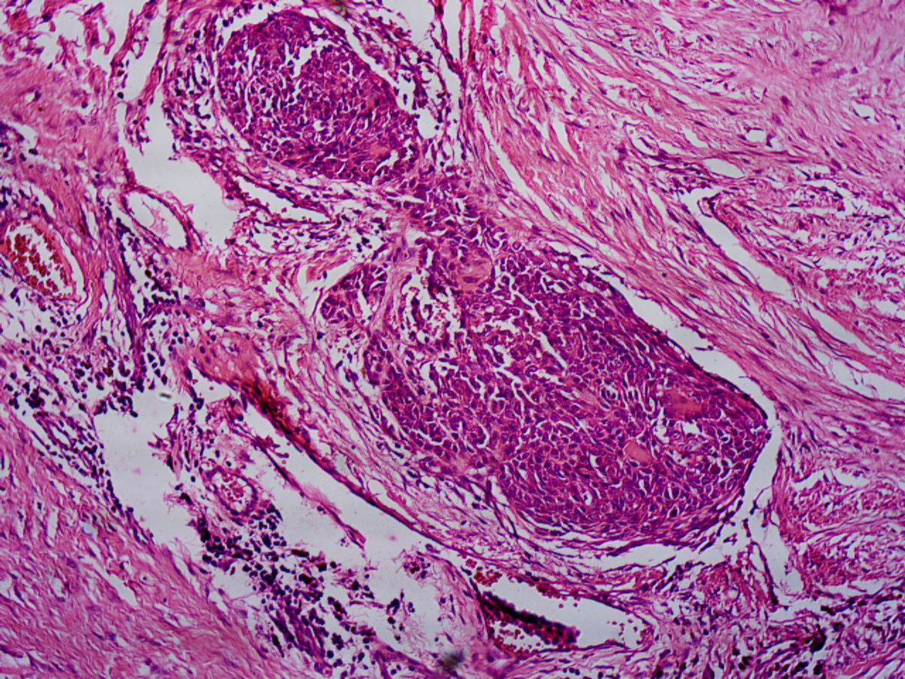
Adenoid cystic carcinoma
'cribriform'
A nicer looking version
Acinic cell carcinoma
Cytology
Polymorphic adenoma
Looking like fibroadenoma, with plasmacytoid myoepithelial cellsMore plasmacytoid cells
![]() |
| Stromal fragment |
Epithelial myoepithelial carcinoma
Note the clear cells around aciniWarthin tumor
Note the double layered oncocytic epitheliumBasal cell adenoma
Mucoepidermoid cancer in a teenage girl
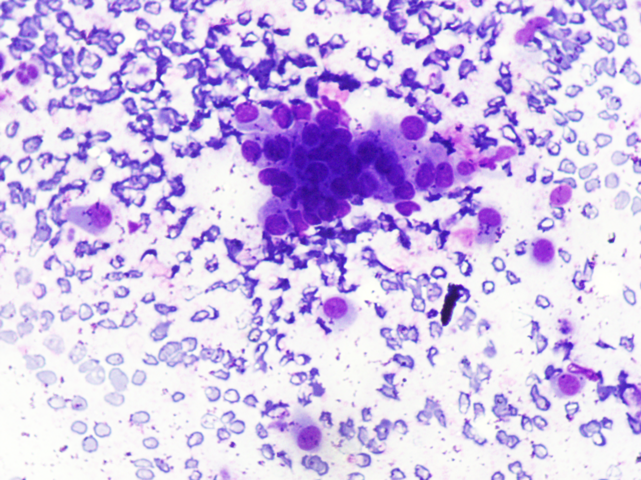
Mixed tumor on cytology
![]() |
| Note bright red to purple stromal fragments |





















































