A quality control slide, this one shows mucin filled columnar cells lining the bronchioles and alveoli, growing in a 'lepidic' (like butterflies on a fence) fashion over the bronchiolar epithelium. I just described bronchioloalveolar carcinoma.
Sorry for this, hazy photograph, but the islets of small cells in an appendix speak of something ominous.
Chromogranin
And synaptophysin
Carcinoid, eh? Next, an mature teratoma
with ectodermal differentiation
and showing mature brain tissue, complete with glia and neurones
An omental nodule with many classical signet rings.
On close up
This is where it comes from; a diffuse stomach neoplasm
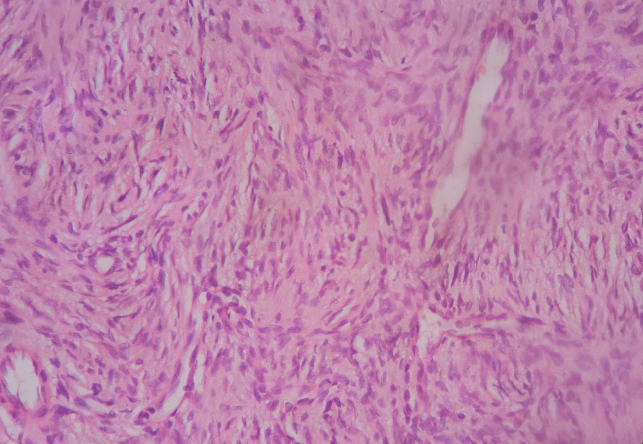
A forehead nodule; revealed to be neural ? vascular?. Hemangiopericytoma like areas were seen. Any comments.
A newborn with a high WBC count; the cells look medium sized with cytoplasmic blebbing. Megakaryoblasts, maybe? Or transient abnormal myelopoeisis?
A bladder cancer
Sorry for this, hazy photograph, but the islets of small cells in an appendix speak of something ominous.
Chromogranin
And synaptophysin
Carcinoid, eh? Next, an mature teratoma
with ectodermal differentiation
and showing mature brain tissue, complete with glia and neurones
An omental nodule with many classical signet rings.
On close up
This is where it comes from; a diffuse stomach neoplasm
A forehead nodule; revealed to be neural ? vascular?. Hemangiopericytoma like areas were seen. Any comments.
A newborn with a high WBC count; the cells look medium sized with cytoplasmic blebbing. Megakaryoblasts, maybe? Or transient abnormal myelopoeisis?
A bladder cancer


























No comments:
Post a Comment