Colon
From a case of suspected Crohn's disease/ TB. Note absence of necrosis.



Skin
BT leprosy. Granuloma around a follicle.Lymph node
A lymph node granuloma on cytology
Another node
Another node in a child
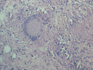
Omentum
A granuloma in omentum; extensive epithelioid change, undergoing keratinisation !
Another omentum
![]() |
| Langhans giant cell |
















































No comments:
Post a Comment